광고닫기

옷깃만 스쳐도 아픈 이 병…발진 줄었다 방심하다 시력도 '뚝'

중앙일보

2025.12.12 18:00

  • 글자크기
  • 인쇄
  • 공유
글자 크기 조절
기사 공유
대상포진 무료 예방접종이 대전의 한 보건소에서 진행되는 모습. 프리랜서 김성태
옷깃만 스쳐도 극심한 통증이 나타나는 병. 대상포진은 어느 날 갑자기 성인들에 나타나 피부 발진·수포(물집)와 매우 심한 통증을 안겨주곤 한다. 대개 어릴 때 앓았던 수두 바이러스가 몸속에 잠복해 있다가 면역력이 저하될 때 재활성화되면서 존재감을 드러내는 식이다.

국내 대상포진 환자 수는 2022년 2만2341명에서 지난해 2만6443명으로 꾸준히 늘고 있다. 특히 50대 이상 중장년층에게 제일 많이 발생한다. 항바이러스제 복용 등으로 치료할 수 있지만, 자칫 방심하면 시력·청력 손상 등 심각한 합병증이 길게 나타날 수 있다. 이구상 서울성모병원 마취통증의학과 교수의 도움말을 바탕으로 대상포진의 주요 증상과 특징, 예방·치료법 등을 정리했다.



원인과 증상은

대상포진은 어릴 때 감염된 수두-대상포진 바이러스가 척추 신경절 등에 잠복해 있다가 특정한 계기로 면역력이 떨어지면 발생한다. 대개 나이가 들고 극심한 스트레스·과로를 겪을 때, 암 등의 질환으로 항암제·면역억제제를 쓸 때 나타나기 쉽다. 그러면 바이러스가 특정한 감각 신경을 따라 이동하면서 띠 모양의 발진과 물집을 만들어낸다. 이 과정에서 신경염 등을 일으켜 매우 심한 통증이 발생한다.

대표적인 증상은 몸 한쪽에 국한된 통증이다. 화끈거리거나 찌르는 듯한 증상이 먼저 생기고, 며칠 뒤 같은 부위에 붉은 반점과 작은 물집이 모여서 나타난다. 주로 옆구리나 얼굴, 눈 주변에 많이 생기지만, 몸 어디에서든 나타날 수 있다. 드물지만 내장을 침범하는 경우도 있다. 다만 발병 초기엔 열과 몸살, 두통이 동반되기 때문에 감기나 심장질환 등으로 오해하는 경우가 적지 않다.
대상포진 피부 병변의 변화 양상. 사진 서울대병원


치료와 예방은

대상포진 증상이 나타나면 가급적 빨리 항바이러스제를 쓰는 게 중요하다. 발진·물집 발생 후 사흘 내에 약을 먹으면 피부 병변 치유가 빨라지고, 신경통이 장기화하는 위험도 줄일 수 있다. 참을 수 없을 정도로 통증이 심하면 진통제와 신경통약, 국소 마취 패치 등을 같이 쓰게 된다. 특히 눈 주변이나 귀, 생식기 등 중요 부위에 증상이 나타나면 입원 치료도 고려해야 한다. 고령자·임신부도 합병증 위험이 높아 입원이 필요할 수 있다.

예방접종으로 발병 위험을 미리 낮출 수 있다. 만 50세 이상 성인, 18세 이상이며 암·장기이식 등으로 심각한 면역 저하가 나타난 성인에게 접종이 권고된다. 특히 최근에 나온 재조합 사백신은 두 차례 접종으로 10년 넘게 90% 이상의 대상포진을 막을 수 있는 것으로 알려졌다. 하지만 백신을 맞는다고 무조건 대상포진을 피할 수 있는 건 아니다. 충분한 수면과 규칙적 운동, 과로·과음·흡연을 줄이는 식의 면역 관리도 일상에서 실천해야 한다.

또한 아동·임신부 등이 환자 물집이 터진 부위와 직접 접촉하면 수두가 옮을 수 있다. 수포가 완전히 마르고 딱지가 떨어질 때까진 발진 부위를 깨끗하게 가리고, 이들 고위험군과의 밀접 접촉을 피하는 게 좋다.
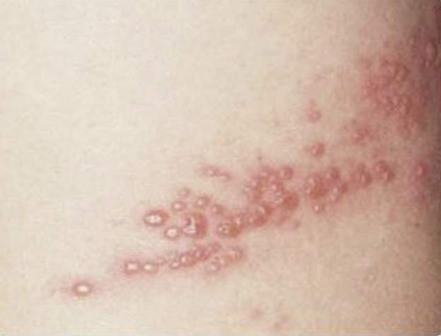
피부에 띠 모양으로 생긴 발진과 물집. 사진 대한의학회ㆍ보건복지부


발병 후 주의할 점은

대상포진은 피부 발진이 가라앉아도 후유증이 남을 수 있다. 대표적인 게 신경통이다. 발진이 가라앉아도 몇 주, 몇 달 뒤까지 통증이 이어질 수 있다. 병변 부위가 불에 타거나 전기가 오는 것처럼 아프면 여기에 해당한다. 특히 바이러스가 눈·귀·얼굴 신경을 침범할 경우, 반영구적인 시력·청력 손상, 얼굴 근육 마비 등이 나타날 수 있어 주의해야 한다.

피부 감각이 이상해지는 후유증도 흔히 나타난다. 벌레가 기어가고, 바늘로 콕콕 찌르고, 사소한 자극에도 매우 아픈 식의 느낌이 이어지곤 한다. 그러면 옷을 입거나 씻는 것도 어려워져 삶의 질이 크게 떨어진다. 또한 후유증이 길어지면 수면 부족, 우울, 불안 등의 정신적 문제도 적지 않게 나타난다.

이 때문에 대상포진이 장기적인 신경통으로 발전하는 걸 막으려면 초기에 적절한 진단과 적극적인 치료가 필수적이다. 대상포진이 의심되는 물집과 발진, 통증이 나타나면 빠르게 전문의 진료를 받는 게 좋다. 발병했어도 증상이 심하지 않을 땐 항바이러스제, 진통제 정도로 호전되고 합병증이 나타나지 않을 수 있다. 하지만 환자 나이가 많거나 피부 물집이 심하고, 얼굴처럼 위험한 곳에 발생하면 반드시 약물 용량 조절, 신경차단술 등을 비롯한 적극적인 관리가 필요하다.



정종훈([email protected])

많이 본 뉴스

      실시간 뉴스